Icon header
Icon header
Icon header
Icon header

General: 932 850 010

Urgencias: 932 850 777

La Dra. Ivón González, Neurocirujana de la Clínica del Remei, realiza por primera vez en nuestro centro la Terapia Regenerativa Neuroespinal acompañada por el Dr. Anitua, eminencia en la investigación de PRGP (bti)

17/07/2017
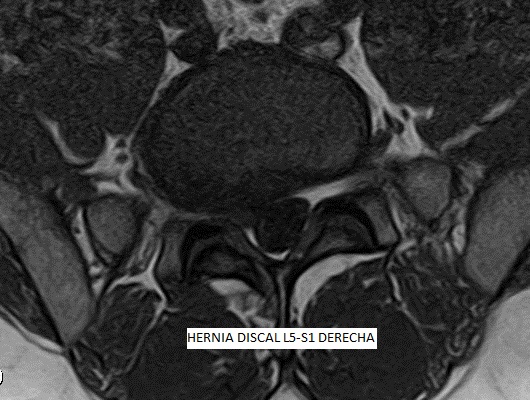
La causa más frecuente del DOLOR LUMBAR es la degenerativa, pudiendo provocar una gran limitación de nuestra calidad de vida.
La Clínica del Remei (COT- Neurocirugía Remei) ha tenido el honor de contar en este mes de Julio con la presencia del destacado Profesor Investigador Dr. Eduardo Anitua, en una de las Intervenciones practicadas, a raíz de su visita a Barcelona para discutir los últimos avances en el área de la Medicina Regenerativa con plasma rico en factores de crecimiento plaquetarios y su aplicación clínica.
 
El dolor de espalda baja o DOLOR LUMBAR, comúnmente tiene su origen en el funcionamiento incorrecto de diferentes tejidos de la región lumbar incluyendo nervios, músculos, articulaciones facetarias y discos intervertebrales. En la mayoría de los casos, el dolor se produce por el daño de varios de estos tejidos a la vez, que funcionan como piezas de un preciso mecanismo donde es necesaria la integridad de cada una para proporcionar una buena salud lumbar.
 
Las patologías del disco intervertebral se consideran de significativa contribución a la sensación dolorosa. Las hernias discales, protusiones discales y la artrosis, son las patologías degenerativas más comunes. La causa más frecuente del DOLOR LUMBAR es la degenerativa, asociada a cambios biomecánicos en la columna vertebral, resultando en un daño que puede alcanzar severa intensidad y provocar una gran limitación de nuestra calidad de vida.
 
La TERAPIA REGENERATIVA NEUROESPINAL, desarrollada por el equipo de Neurocirugía de la Clínica del Remei (COT- Neurocirugía Remei) y dirigida por la Dra. Ivón González Valcárcel, es una Intervención novedosa y mínimamente invasiva exenta de reacciones adversas, avalada por evidencia científica, que utiliza la biotecnología. Nos brinda beneficios inmediatos en el control del DOLOR LUMBAR, así como ofrece efectividad en revertir la cascada degenerativa, con la consecuente REPARACIÓN y REGENERACIÓN del disco intervertebral y otros tejidos afectados.
 
Los factores de crecimiento plaquetarios son proteínas que se encuentran en nuestra propia sangre, ejerciendo importantes efectos biológicos. Mediante esta revolucionaria técnica, somos capaces de activarlos, concentrarlos e infiltrarlos con alta precisión en la zona dañada por la patología degenerativa. Así participarán directamente en la regulación del DOLOR y en la REGENERACIÓN, mediante la estimulación de funciones que dan lugar a la mejoría significativa o, inclusive, a la desaparición de los síntomas con rápido retorno a la actividad física cotidiana, con lo cual es una excelente alternativa a la cirugía convencional en muchos de los casos.
 

Unidad de Neurocirugía de la Clínica del Remei (COT- Neurocirugía Remei)

Accesos directos