General: 932 850 010
Urgències: 932 850 777

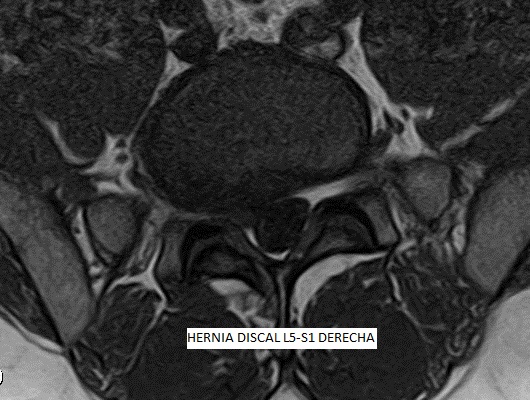
El mal d'esquena baixa o Dolor Lumbar, comunament té el seu origen en el funcionament incorrecte de diferents teixits de la regió lumbar incloent nervis, músculs, articulacions facetarias i discos intervertebrals. En la majoria dels casos, el dolor es produeix pel dany de diversos d'aquests teixits a la vegada, que funcionen com a peces d'un precís mecanisme on és necessària la integritat de cadascuna per a proporcionar una bona salut lumbar.
Les patologies del disc intervertebral es consideren de significativa contribució a la sensació dolorosa. Les hèrnies discals, protusions discals i l'artrosi, són les patologies degeneratives més comuns. La causa més freqüent de la Lumbàlgia o Dolor Lumbar és la degenerativa, associada a canvis biomecànics a la columna vertebral, resultant en un dany que pot arribar a severa intensitat i provocar una gran limitació de la nostra qualitat de vida.
La TERÀPIA REGENERATIVA NEUROESPINAL, desenvolupada per l'equip de Neurocirurgia de la Clínica del Remei (COT- Neurocirurgia Remei) i dirigida per la Dra. Ivón González Valcárcel, és una Intervenció nova i mínimament invasiva exempta de reaccions adverses, avalada per evidència científica, que utilitza la biotecnologia. Ens brinda beneficis immediats en el control del Dolor Lumbar, així com ofereix efectivitat en revertir la cascada degenerativa, amb la conseqüent REPARACIÓ i REGENERACIÓ del disc intervertebral i altres teixits afectats.
Els factors de creixement plaquetaris són proteïnes que es troben en la nostra pròpia sang, exercint importants efectes biològics. Mitjançant aquesta revolucionària tècnica, som capaços de activar-los, concentrar-los i infiltrar amb alta precisió a la zona danyada per la patologia degenerativa. Així participaran directament en la regulació del DOLOR i en la REGENERACIÓ, mitjançant l'estimulació de funcions que donen lloc a la millora significativa o, fins i tot, a la desaparició dels símptomes amb ràpid retorn a l'activitat física quotidiana, amb la qual cosa és una excel·lent alternativa a la cirurgia convencional en molts dels casos
Unitat de Neurocirurgia de la Clínica del Remei (COT- Neurocirugía Remei)