General: 932 850 010
Urgències: 932 850 777
Las lesiones de los nervios periféricos son frecuentes en nuestro medio, ya sea por compresión o por lesión directa o indirecta tras un traumatismo. El tiempo de reparación y regeneración nerviosa es lento y no siempre es completa. En muchos casos persisten síntomas como hipoestesia (disminución de la sensibilidad), parestesias (alteración de la sensibilidad), pérdida de fuerza y dolor crónico asociados a las lesiones nerviosas.
La aplicación del PRGF (plasma rico en factores de crecimiento) se ha convertido en los últimos años en un tipo de terapia cada vez más utilizada, ya que se ha reconocido sus beneficios tanto en lesiones agudas como crónicas, no solo en el campo de las lesiones musculo esqueléticas, sino también en otras especialidades.
Ya son muchos los estudios que demuestran que el PRFG tiene un efecto potencial de reparación de estructuras anatómicas porque son capaces de modificar las respuestas biológicas celulares, ya que regulan la migración, proliferación, diferenciación y metabolismo celular. Estructuralmente son péptidos, que se encuentran en el plasma y sobretodo en el interior de los gránulos alfa de las plaquetas.
El PRP se define como una fracción del plasma, obtenido de la sangre del paciente, que tiene una concentración de plaquetas superior a la del plasma en condiciones basales.
Se aplican en la mayoría de los casos a través de una infiltración. No requieren ingreso hospitalario, ni anestesia, y los efectos secundarios se limitan a los locales en el sitio de la inyección.
Os presentamos un caso en el que gracias a la terapia con PRFG conseguimos recuperar por completo un nervio lesionado tras un grave traumatismo de codo.
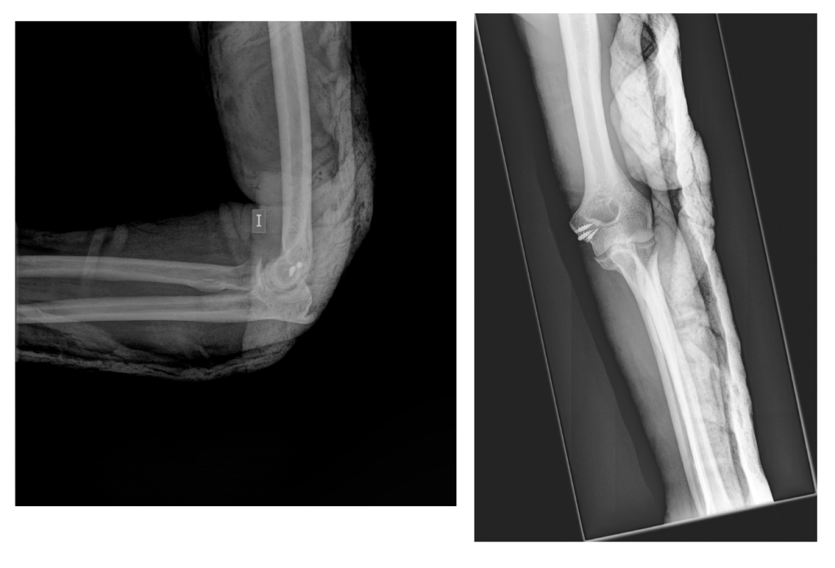
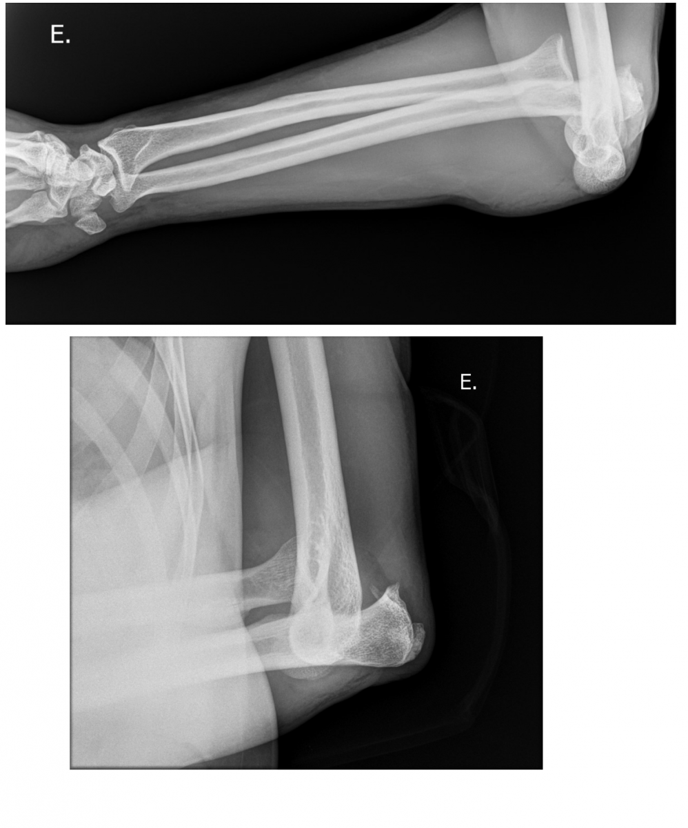
Se trata de un paciente de 61 años de edad que sufrió una luxación de codo izdo, tras caída desde una altura, en marzo del 2018. Tras la reducción de la luxación, se constató un codo inestable por arrancamiento del Lig. Colateral Medial y del tendón conjunto de la musculatura flexora-pronadora. El paciente fue intervenido a la semana del accidente, procediendo a la reinserción y reparación del complejo ligamentoso y tendinoso mediante anclajes óseos.

Debido a la lesión y a su posterior inmovilización, inevitable para la cicatrización de las partes blandas, el codo evolucionó a una rigidez articular importante.
Tras 4 meses de rehabilitación, el rango de movilidad obtenido fue pobre, por lo que ingresó de nuevo para Artrolisis artroscópica y colocación de un catéter axilar para rehabilitación en planta, consiguiendo tras el ingreso, una movilidad aceptable, que fue incrementando en los meses sucesivos hasta llegar a ser prácticamente completa.
Desde el traumatismo, el paciente refería una zona de hipoestesia en la cara medial del antebrazo y parestesias en territorio del nervio cubital, moderadas al inicio, que fueron empeorando a media que la fibrosis se hacía más patente, y que llegaron a ser importantes y limitantes a medida que iba ganando rango de movilidad (empeoraban con la flexión del codo).
Tras 2 meses de la artrolisis, y 6 meses desde el accidente, el paciente tuvo que pasar de nuevo por quirófano, y procedimos a la liberación del nervio cubital en el canal epitrócleo-olecraneano, con disminución posterior de la clínica, pero sin resolución completa.
En los EMG (electromiogramas) sucesivos, se objetivó mejoría del componente axonal motor, que llegó a normalizarse, pero no se evidenciaba mejoría en el componente sensitivo.
El paciente pudo reincorporarse a su actividad laboral, puesto que el dolor y las parestesias no dificultaban su trabajo, pero mantuvimos los controles ambulatorios, con EMG sucesivos, en los que se seguía mostrando un componente motor normal y un componente sensitivo disminuido.
Tras 18 meses de evolución, se le propuso terapia con infiltraciones de Plasma rico en factores de crecimiento (PRGF), terapia no agresiva, fácil de realizar a nivel ambulatorio y sin efectos secundarios.
En este caso concreto, se realizaron 3 infiltraciones perineurales, ecoguiadas, del nervio cubital en codo izdo, con 1 mes de intervalo.
El tratamiento fue un éxito al constatar que clínicamente el dolor desapareció y el área de hipostesia y disestesias habían disminuido. En el EMG de diciembre del 2020, se evidenciaba una clara mejoría respecto a los estudios previos, siendo el estudio normal para el nervio cubital.
Por tanto, podemos afirmar que la terapia con PRGF es una terapia a tener en cuenta en las lesiones nerviosas crónicas, de fácil aplicación, sin riesgo alguno para el paciente, más que las molestias locales de la infiltración, y que se ha mostrado efectiva a nivel clínico, resultado que se constata en este caso, gracias a los EMG seriados.